1.2 - LA ENFERMEDAD PERIODONTAL COMO UN PROBLEMA DE SALUD PÚBLICA
La enfermedad periodontal es una infección en las encías que daña el tejido blando, si esta no tiene un tratamiento puede dañar los tejidos de sostén del órgano del diente así como el hueso mismo que lo sostiene. La enfermedad periodontal ha sido a veces denominada “infección bacteriana mixta” ya que contribuye más de una especie al desarrollo de la enfermedad.
Los procesos inflamatorios e inmunes actúan en los tejidos gingivales para protegerlos contra el ataque microbiano y evitan que los microorganismos se extiendan o invadan los tejidos, estas reacciones defensivas pueden ser perjudiciales para el huésped ya que la inflamación puede dañar a las células circundantes y al tejido conectivo y si se extienden al tejido conectivo más allá del fondo de la bolsa pueden afectar al hueso alveolar en ese proceso destructivo. Por lo tanto, los procesos defensivos pueden ser responsables de gran parte de la lesión tisular observada en la gingivitis y periodontitis. La destrucción periodontal puede deberse tanto a las enzimas virulentas producidas por las bacterias que inducen la inflamación como a una reacción inmunitaria a los productos de desecho.
CARACTERÍSTICAS CLÍNICAS E HISTOPATOLÓGICAS DE LA ENFERMEDAD PERIODONTAL
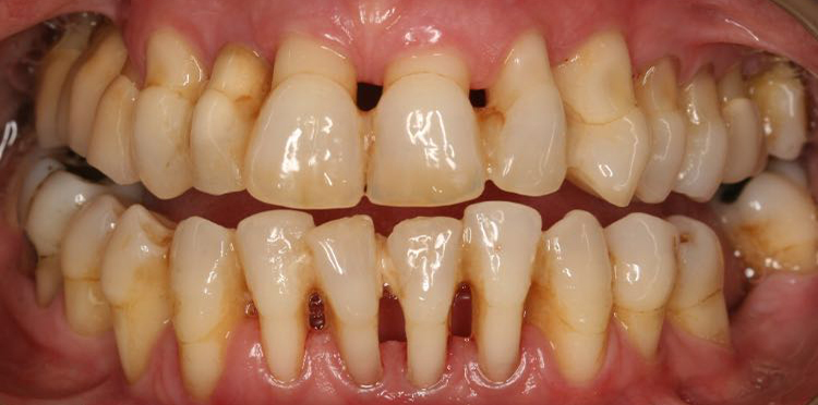
La encía normal se caracteriza clínicamente por su color rosado y consistencia firme, el margen gingival tiene un contorno festoneado, las papilas dentarias son firmes y no sangran por un sondeo suave. La encía normal libre de acumulaciones significativas de células inflamatorias podría ser denominada encía “prístina” que histológicamente tiene poco o nada de infiltrado inflamatorio y la encía “clínicamente sana” que es similar clínicamente, pero tiene rasgos histológicos de infiltrado inflamatorio. La interacción huésped – microorganismo, que constituye la situación prístina y clínicamente sana, se modificará por una acumulación de placa suficiente como para que los productos microbianos inicien una respuesta inflamatoria sustancial, la cual puede ser modificada por las hormonas (como en el caso de la pubertad y el embarazo) o por fármacos que inducen la hipertrofia gingival (fenitoína, ciclosporina o nifedipina).
Las lesiones de gingivitis van acompañadas de una pérdida de colágeno más pronunciada. La gingivitis inicia y perpetúa respuestas inmunitarias a los microorganismos bucales, pero el nivel de la respuesta es menor que la destrucción tisular bruta y la pérdida ósea que se observa en la periodontitis. Las personas con defectos obvios del sistema inflamatorio (disminución o disfunción de neutrófilos) pueden generar rápidamente periodontitis severa. La periodontitis crónica requiere cierta predisposición adicional del huésped como un defecto neutrofílico, un ataque microbiano muy intenso o una incapacidad para desarrollar una respuesta inmune eficaz frente a los microorganismos de la placa.
CARACTERISTICAS CLÍNICAS
Dentro de los 10-20 días de acumulación de placa empiezan los signos de la gingivitis (aunque esto varía en cada sujeto). La gingivitis se presenta con enrojecimiento de las encías, tumefacción y tendencia incrementada del tejido blando a sangrar ante un suave sondeo (en esta etapa los signos clínicos son reversibles después de la eliminación de placa microbiana) en cuanto a las modificaciones histopatológicas se producen cambios en la red vascular con apertura de muchos lechos vasculares, el líquido exudado y las proteínas invaden los tejidos y se produce una penetración de células inflamatorias en el tejido conectivo subyacente al epitelio de unión. El infiltrado celular inflamatorio comprende principalmente linfocitos, macrófagos y neutrófilos, al aumentar la infiltración celular se modifica la composición estructural y celular de los tejidos. En 1976 Page y Schroeder clasificaron la progresión de la inflamación gingival y periodontal en cuatro fases: Inicial, temprana, establecida y avanzada.
- Lesión gingival inicial: Se produce rápidamente inflamación en cuento se deposita placa en el diente. El resultado es un incremento de la permeabilidad del lecho microvascular, de modo que se exudan líquidos y proteínas hacia los tejidos.
- Lesión gingival temprana: Se produce aproximadamente 7 días después de la acumulación de la placa. El infiltrado celular inflamatorio en esta etapa puede abarcar hasta el 15% del volumen del tejido conectivo. Los fibroblastos degeneran, se produce destrucción de colágeno (proceso de creación de espacios). Las alteraciones inflamatorias se aprecian clínicamente en esta etapa y aproximándose la 2da semana de acumulación de placa se pueden hallar depósitos gingivales
- Lesión gingival establecida: Hay un incremento del exudado líquido y migración de leucocitos hacia los tejidos y la hendidura gingival. Clínicamente esta lesión presentará una tumefacción edematosa mayor que la gingivitis temprana. La pérdida de colágeno continúa en ambas direcciones, lateral y apical. Durante este tiempo, el epitelio dentogingival continúa proliferando y el retículo epitelial se extiende más profundamente en el tejido conectivo en un intento por mantener la integridad epitelial y formar una barrera frente a la penetración microbiana.
- Lesión gingival (periodontal) avanzada: La lesión avanzada tiene todas las características de la lesión establecida, pero difiere en cuanto existe pérdida de hueso alveolar y hay amplias manifestaciones de lesión tisular inflamatoria e inmunopatológica.
La acumulación de placa microbiana en la superficie dentaria adyacente a los tejidos gingivales pone a las células epiteliales sulculares bucales y de inserción en contacto con los productos de desecho, enzimas y componentes superficiales de las bacterias colonizantes. Al aumentar la carga bacteriana, aumenta la irritación de los tejidos del huésped por estas sustancias
La enfermedad periodontal como un problema de salud
publica en México
La enfermedad periodontal es un problema muchas veces ignorado y minimizado debido a que se toma como una patología menor, es imperativo que se de a conocer esta patología ya que puede tener consecuencias en todo el organismo sin mencionar las afectaciones estéticas para las personas que la padecen. Las enfermedades periodontales deben ir acompañado de un enfoque en la salud pública, dado que se reconoce que tanto la gingivitis como la periodontitis son un importante problema de salud pública a nivel global por su alta prevalencia, por ocasionar daños evidentes en las personas, por el alto costo de tratamiento y por ser susceptibles de ser prevenidas.
La periodontitis es la enfermedad crónica
inflamatoria más común que se observa en humanos. Muchos países del mundo han
optado por monitorear la salud periodontal principalmente a través de encuestas
con los criterios establecidos por la Organización Mundial de la Salud. El
Índice Periodontal Comunitario (IPC) fue presentado por la OMS para
proporcionar perfiles del estado de salud periodontal de los países, así como
para la planificación y elaboración de programas de intervención para el
efectivo control de la enfermedad periodontal. Las ventajas del IPC son la
simplicidad, rapidez, reproducibilidad, y la uniformidad internacional.
Para un mayor entendimiento de lo que representa la
enfermedad periodontal en México se recurrió a las investigaciones hechas por
el sistema de vigilancia epidemiológica de patologías bucales (SIVEPAB) en
instancias de salud de la república mexicana. De acuerdo al SIVEPAB, el mayor
porcentaje de pacientes sanos se presenta entre los niños y adolescentes hasta
los 18 años con valores entre 38.3% y 96.4% para el periodo 2005-2014. Al igual
que las estimaciones mundiales de la OMS la categoría que mayormente se
presenta es el cálculo con valores de 31.9% a 35.7% en el grupo de 35 a 44 años
de edad y del 31.5% a 39.0% entre los adultos de 65 a 74 años de edad.
Por otra parte, se observa, que las bolsas
profundas en el grupo de edad de 65 a 74 años, se presentan del 2.1% al 11.9%,
cifra por debajo de las estimaciones de la OMS para la región de las Américas.
Esta diferencia se puede explicar por varias situaciones, la primera puede
deberse al tipo de población examinada por el SIVEPAB, ya que revisa únicamente
a los usuarios de los servicios de salud, que acuden a las unidades centinela,
segundo, el número de personas examinadas de este grupo de edad representa
alrededor del 5% del total de usuarios revisados anualmente. Por último, a lo
largo de estos diez años de operaciones se ha insistido a los odontólogos de
las unidades centinela en la importancia de la medición de la profundidad de
bolsa periodontal con la sonda reglamentaria de la OMS, pero en la mayoría de
los casos no cuentan con ella, tienen otro tipo de sonda o prefieren hacer la
detección visual.
La investigación se llevo a cabo según los
siguientes criterios establecidos por la OMS (imagen 1)
PS: profundidad de
sondaje
Imagen 1. Recomendaciones para la evaluación periodontal en atención
primaria
El SIVEPAB realizó el cuadro 1 para esquematizar los resultados obtenidos en los diferentes grupos de edades desde el 205 hasta el año 2014.Debido a la recomendación de la OMS de no usar sondas periodontales en menores de 15 años el cuadro no presenta la presencia de bolsas en estas edades.
El actual patrón de la enfermedad periodontal refleja distintos perfiles de riesgo relacionados con las condiciones de vida, factores ambientales, del comportamiento y sistemas de salud y la implementación de programas preventivos. Por lo tanto, es urgente que se refuercen los programas existentes o se diseñen programas de salud pública para enfrentar el cuidado periodontal, con énfasis en los determinantes sociales tendientes a promover y prevenir el inicio y la progresión de esta enfermedad, considerando la alta carga de la enfermedad en nuestra población.
BIBLIOGRAFIAS
Carvajal P., Enfermedades periodontales como un problema de salud pública: el desafío del nivel primario de atención en salud, Revista Clínica de Periodoncia, Implantología y Rehabilitación Oral, Volumen 9, 2016, Paginas 177-183, ISSN 0718-5391, https://doi.org/10.1016/j.piro.2016.07.001. (https://www.sciencedirect.com/science/article/pii/S0718539116300337)
Mejia A., Rodriguez K. & Lomeli G.. (2015, diciembre 3). 10 años vigilando la salud publica de los mexicanos. SIVEPAB. CENAPRECE, -, 35, 36. http://www.cenaprece.salud.gob.mx › interior › pdf
Lindhe, J. (2003). PERIODONTOLOGIA CLÍNICA E IMPLANTOLOGIA ODONTOLÓGICA (3ra edición, Vol. 3). Editorial Médica Panamericana.
Secretaría de Salud. Modificación a la Norma Oficial Mexicana NOM-013- SSA2-1994, Para la prevención y control de enfermedades bucales, para quedar como Norma Oficial Mexicana NOM-013-SSA2-2006, Para la prevención y control de enfermedades bucales. DOF: 08/10/2008.








La enfermedad periodontal como se mencionó en el texto muchas veces no se le da la importancia que este tiene, me sorprendí al ver las cifras, es muy común en nuestro país esta enfermedad es un padecimiento que se puede prevenir y/o controlar para evitar que llegué a ser muy grave. En los estadios primarios de la enfermedad lesión gingival inicial se muestra inflamación, esto lo realiza el cuerpo como método de defensa ante el acúmulo de placa dentobacteriana en los tejidos adyacentes al órgano dentario, si no se trata la afección la inflamación continuará y será perjudicial para los propios tejidos. La forma más grave de la enfermedad, lesión grave periodontal , debe pasar por algunos estadios antes de llegar a tal extremo donde se encuentra muy inflamado y con pérdida de hueso, por ello es importante el tratamiento oportuno evitando tratamientos más invasivos al agravar la enfermedad.
ResponderBorrarMe parece muy interesante la recopilación de datos que se hizo acerca de los problemas de salud relacionadas con la enfermedad periodontal en nuestro país, y como es que afecta comúnmente más a los jóvenes.
ResponderBorrarAlgo que también me pareció muy impactante es como puede llegar la salud de la boca por no prevenir y no cuidarse adecuadamente, llegando a una periodontitis muy avanzada donde se puede llegar a perder la vitalidad del órgano dental y generar demasiados problemas.
La enfermedad periodontal, así como las diversas enfermedades que involucran la encía se originan de una higiene deficiente y como lo mencionan, diversos factores como hormonales e inmunodeficiencias que contribuyen al desarrollo de la misma.
ResponderBorrarEl conocer el mecanismo de acción de esta enfermedad ayuda a un correcto diagnostico, tratamiento, así como su prevención. El conocimiento de las características clínicas y las fases de inflamación gingival son de gran ayuda para poder entender la gravedad de la etapa así como la rapidez en la que esta avanza dependiendo de la situación de cada individúo y poder dar un diagnostico adecuado a la fase correspondiente.
Además, conocer los altos índices de prevalencia de esta enfermedad sin tratamiento, o tratamientos en una etapa donde el daño no es reversible, da a notar el énfasis que se debe poner en diversos programas de salud publica preventiva.
Las enfermedades en la encía, comúnmente son provocadas por una mala higiene bucal, o también pueden ser provocadas por distintos factores, como sería una deficiencia inmunológica. La enfermedad periodontal es una infección gingival aguda que daña las encías, provocando inflamación, enrojecimiento y sensibilidad de la misma. Con la información brindada en este blog, podemos observar que hay muchas personas en nuestro país con esta patología, promover la salud oral ayudará a que las personas comprendan la importancia de la higiene bucal para evitar este tipo de enfermedades, que la mayoría de las veces suelen ser bastante fáciles de prevenir.
ResponderBorrarEsta información me pareció muy interesante, pues me ayudó a tener un conocimiento más amplio sobre la patología.
Me gustaría comentar que las caries dentales y afecciones periodontales son las enfermedades odontológicas de mayor prevalencia. La enfermedad periodontal como ya se ha mencionado desencadena pérdida de soporte dentario, siendo una de las causas principales de pérdida dental en los adultos, es interesante como puede aparecer en varios tipos y etapas, iniciando como una infección de la encía que avanza hasta afectar los demás tejidos de soporte dental; y hay que tener bien claro que la enfermedad periodontal afecta indistintamente al sexo femenino y masculino, a cualquier edad, raza, condición económica y social y tener muy en cuenta que el factor de riesgo predominante en la enfermedad periodontal es la presencia de placa dentobacteriana.
ResponderBorrarAdemás, después de leer el blog me quedo con la idea de que tenemos que concientizar a los pacientes tal y como se menciona, tomarle la importancia que tiene el correcto cepillado de dientes y uso del hilo dental por mencionar algo, pues la causa principal de desarrollo de enfermedad periodontal suele ser la falta de higiene, pues como ya se mencionó favorece la acumulación de placa dentobacteriana entre los dientes y las encías.
Bibliografía consultada: Lindhe, J. (2003). PERIODONTOLOGIA CLÍNICA E IMPLANTOLOGIA ODONTOLÓGICA (3ra edición, Vol. 3). Editorial Médica Panamericana.
Me pareció muy interesante el contenido del tema ya que esta muy bien redactado y se enfoca bien en lo que muestra en sus títulos mostrando así información básica que podría ayudar a cualquier persona que lea este blog a tener un mejor entendimiento acerca de los principios de la periodoncia, siendo un problema con mucha prevalencia en nuestro pais, en cuanto al diseño me pareció bien como quedaron distribuidas las imágenes y los párrafos de cada tema.
ResponderBorrarme gustaría agregar que los factores que influyen en la aparición de la enfermedad periodontal, un punto uy importante es el nivel de educación y la edad también es un marcador importante especialmente en edades avanzadas, con una mayor prevalencia en adultos mayores, a los que debido a complicaciones sistemáticas se les dificulta hacer un bien cepillado gingivodental, haciéndolos mas propensos a este tipo de enfermedades.
1. Berenguer Gouarnalusses MC, Villares Pérez O, Couso Seoane C, Pérez Rodríguez A. La gerontología en el Consejo Popular. Los Maceos. Rev MEDISAN. 2000; 5(1):20-4.
Me encanto el diseño y acomodo del blog, es muy practico y luce bonito. Además la información recopilada es muy interesante y bien respaldada.
ResponderBorrarMe gustaría recalcar los principales indicadores de riesgo para presentar enfermedades periodontales, que son la edad, el género, el nivel de escolaridad, el nivel socioeconómico, el acceso a la salud, el tabaquismo, también algunas enfermedades crónicas tales como diabetes.
Pues al reconocer determinantes de la enfermedad se pueden diseñar programas de salud pública dirigidos a promover y prevenir el inicio y progresión de estos padecimientos.
Bibliografía: Carvajal P., Enfermedades periodontales como un problema de salud pública: el desafío del nivel primario de atención en salud, Revista Clínica de Periodoncia, Implantología y Rehabilitación Oral, Volumen 9, 2016, Paginas 177-183, ISSN 0718-5391, https://doi.org/10.1016/j.piro.2016.07.001. (https://www.sciencedirect.com/science/article/pii/S0718539116300337)
Me pareció muy concisa y adecuada la información presentada; me gustaría recalcar que las lesiones periodontales se producen por la acumulación de bacterias, que ocasionan alteraciones del periodonto. Si no son tratadas, estas dolencias avanzan progresivamente, pudiendo provocar la caída de los dientes y diversas afecciones en nuestro organismo; por eso se debe tratar de incrementar el cuidado dental como prevención así como una mayor concienciación y educación de la sociedad sobre lo que es la enfermedad periodontal y las medidas básicas de higiene oral se consideran esenciales para prevenir las patologías periodontales y frenar el creciente problema que suponen estas enfermedades.
ResponderBorrarDe igual modo, conocer y tratar sus factores de riesgo para prevenir esta patología.
El estilo de vida puede convertirse en un factor de riesgo para la salud periodontal debido al consumo de alimentos inadecuados, a la falta de ejercicio, el consumo de alcohol y a otras sustancias.
El tabaquismo es el factor de riesgo principal, que afecta a la prevalencia y progresión de las periodontitis e interfiere con la cicatrización de los tejidos. Puede ser un factor etiológico directo en la progresión de una lesión estable de gingivitis a una enfermedad destructiva.
Otro de los motivos por los que aparece la enfermedad periodontal es la predisposición genética. El genotipo tiene un papel importante en la susceptibilidad a la periodontitis. El riesgo de pérdida dental es significativamente alto si se combina con el consumo de tabaco.
Seguir una inadecuada higiene oral es otro de los factores de riesgo más extendidos. El apiñamiento dental y otros problemas de malposición dentaria pueden dificultar la realización de una completa limpieza oral diaria, provocando un alto riesgo de padecer patologías periodontales.
Bibliografia: Anonimo . (2016). Información sobre Periodoncia. 6/09/21, de Consejo Dentistas Sitio web: https://www.consejodentistas.es/ciudadanos/informacion-clinica/tratamientos/item/1548-informacion-sobre-periodoncia.html
Este comentario ha sido eliminado por el autor.
ResponderBorrarMe parece que este tema es de suma importancia ya que la población debería estar enterada sobre las consecuencias qué tiene la mala higiene bucal, y así mismo que sepan que aunque existan tratamientos para estas, lo importante es que puedan prevenirlas.
ResponderBorrarHubo información suficiente y entendible, lo cual hace que el tema sea sencillo de comprender.
La información presentada me pareció muy buena y adecuada al tema, con buenas fuentes bibliográficas y buen diseño y redacción de los temas. Me parece importante informar a las personas y darles a conocer de buena mano lo que es una enfermedad periodontal y cómo puede tratarse ya que es un padecimiento común entre la población mexicana. Me gustaría agregar que la periodontitis es un importante problema de salud pública, causando pérdida de dientes, discapacidad, disfunción masticatoria y estado nutricional deficiente. Asimismo, las manifestaciones de la periodontitis-sangrado, halitosis, recesión gingival y pérdida de dientes-, pueden tener un impacto más allá del individuo que las padece. La periodontitis también compromete el habla, reduce la calidad de la vida y es una carga creciente para la economía. Además, algunos estudios han asociado las enfermedades periodontales con enfermedades periodontales: el desafío del nivel primario de atención en salud varias condiciones y enfermedades sistémicas, tales como diabetes, VIH, ateroesclerosis, enfermedad cardiovascular, artritis reumatoide, efectos adversos en el embarazo, obesidad y síndrome metabólico.
ResponderBorrarCarvajal, P. C. (2016, 1 agosto). Enfermedades periodontales como un problema de salud pÃoblica: el desafÃo del nivel primario de atenciÃ3n en salud. Recuperado 8 de septiembre de 2021, de https://www.sciencedirect.com/science/article/pii/S0718539116300337?token=E7BD73D74492389C8C2EA647ED97CB424DA3FAFE8A7E9CD8B133E9EF5C132C1F20EDD0FC266F36525FEBEC815D144251&originRegion=us-east-1&originCreation=20210908170242
Me parece interesante la información que lograron recabar para poder explicarnos la periodontitis de una manera más fácil y bien detallada con cifras de prevalencia según sea la edad.
ResponderBorrarUn dato que me leí y me pareció muy interesante, es que la periodontitis es muy rara en niños y en adolescentes (1/10.000), aunque su prevalencia y su gravedad se incrementa con la edad.
En los niños y adolescentes con diabetes tipo 1 mal controlada y en los adultos con diabetes tipo 2 también mal controlada, la prevalencia de la enfermedad periodontal es considerablemente mayor que entre sus homólogos no diabéticos. La gravedad de esta afección es también mayor entre las personas con diabetes.
Bibliografía: Villalón Fernández, P. C., Hernández Fernández, G. L., Simón Rodríguez, J., & Abad Villalón, S. (2018). Autocuidado de las encías y salud periodontal. Revista Información Científica, 97(4), 868-879.
La información presentada en este apartado del blog me parece muy completa e interesante. Me gustó que se agregaran estadísticas de edades y enfermedades porque ayuda a comprender de mejor manera a que partes de la población afectan más las enfermedades del periodonto. También el uso de varias imágenes mostrando la presentación clínica de esta enfermedad permite relacionar de mejor manera los conceptos y la forma en que se ven. Me parece importante mencionar que la periodontitis no solo se desarrolla por la falta o la incorrecta higiene existen otros factores de riesgo como son la edad, el género, el nivel de escolaridad, el nivel socioeconómico, el acceso a la salud y el tabaquismo. Por la relación existente con enfermedades crónicas no transmisibles y por compartir factores de riesgo comunes con ellas y para comenzar a radicarlas de debe de hace un enfoque en el nivel primario de salud, trabajo interdisciplinario e intersectorial, promoviendo estilos de vida saludables, hábitos de higiene oral, consejería anti tabáquica y dietética, y detección precoz de la enfermedad.
ResponderBorrarCarvajal, P., (2016), Periodontal disease as a Public Health problem, Revista Clínica de Periodoncia, Implantología y Rehabilitación Oral, Volume 9, Issue 2, Pages 177-183. Recuperado de: https://www.sciencedirect.com/science/article/pii/S0718539116300337
Me pareció muy importante la información planteada ya que ayuda a comprender la periodontitis de una forma más fácil.
ResponderBorrarUn dato que me gustaría compartir es que la periodontitis tiene mayor índice de aparición en personas mayores de edad, que comúnmente se conoce como alargamiento de los dientes por la edad pero es por la pérdida de inserción de los dientes.
Me parece que la información plasmada en este articulo esta bien redactada, es breve y explica muy bien todos los subtemas, el uso de las imágenes me parecieron atractivas y además de ello pude comprender el tema mucho mejor , cabe mencionar que la enfermedad periodontal tiene relación con enfermedades sistémicas , múltiples estudios han revelado la asociación existente entre enfermedad periodontal y alteraciones cardiovasculares, pulmonares, con la diabetes , entre otras más, algunas de las dolencias con las que se relaciona la enfermedad periodontal y el sistema cardiovascular (SCV) son: endocarditis bacteriana, infarto del miocardio, cardiopatía isquémica, trombosis, insuficiencia coronaria y venas varicosas, se ha planteado que los microorganismos de la enfermedad periodontal provocan la inflamación del endocardio cuando pasan al torrente sanguíneo y se alojan en válvulas anómalas del corazón y en tejidos cardíacos previamente dañados, la relación entre la enfermedad periodontal y las afecciones respiratorias se establece cuando se ha producido un fallo en los mecanismos de defensa. Las enfermedades más frecuentemente relacionadas son: neumonía bacteriana, bronquitis, enfermedad pulmonar obstructiva crónica y abscesos pulmonares, la aspiración de bacterias se produce cuando bacterias gramnegativas de las bolsas periodontales penetran y se extienden por el tracto respiratorio bajo hasta llegar al pulmón. La diabetes mellitus es otra de las enfermedades relacionadas con las dolencias periodontales, existiendo una relación directa entre ambas, ya que guardan actores genéticos, y alteraciones microbiológicas e inmunológicas en común. La principal evidencia es que la glucemia se estabiliza después del tratamiento periodontal y la enfermedad periodontal desestabiliza la glicemia.
ResponderBorrarTambién se asocian las enfermedades de las encías con afecciones renales, trastornos cerebrovasculares y determinadas complicaciones del embarazo, como un parto prematuro y bajo peso al nacer.
Bibliografía: ¿Qué es la Enfermedad Periodontal? Información Sobre Periodoncia. (2020). Consejo Dentistas. https://www.consejodentistas.es/ciudadanos/informacion-clinica/tratamientos/item/1548-informacion-sobre-periodoncia.html
Me parece muy interesante el tema de la periodontitis, la información esta muy bien redactada, resumida, de una manera muy entendible, me parece de suma importancia el saber la incidencia que hay de periodontitis en México y darnos cuenta de que es un problema grave, que va desde generaciones y es primordial para nosotros como odontólogos saber como tratar ese problema para ayudar a las personas, darles un buen tratamiento y en algún futuro poder lograr que ese índice de personas con problemas periodontales sea mínimo.
ResponderBorrarAlgunos datos que me gustaría agregar es que la enfermedad periodontal es, junto con la caries, uno de los padecimientos bucodentales con mayor prevalencia a nivel mundial. En México se ha reportado hasta en 70 por ciento de la población (según la Academia Americana de Periodoncia) y se presenta principalmente en adultos mayores (de 65 años en adelante) y que esta enfermedad es más frecuente en fumadores, así como en diabéticos y personas con otras alteraciones sistémicas como lupus eritematoso y esclerodermia.
La periodontitis y la diabetes son enfermedades crónicas complejas, unidas por una relación bidireccional establecida. El riesgo de periodontitis aumenta de dos a tres veces en las personas con diabetes en comparación con las personas sin diabetes, y el nivel de control glucémico es clave para determinar el riesgo. En las personas que no tienen diabetes, la periodontitis se asocia con niveles más altos de hemoglobina glucosilada (HbA1c) y niveles de glucosa en sangre en ayunas, y la periodontitis grave se asocia con un mayor riesgo de desarrollar diabetes. En las personas con diabetes tipo 2, la periodontitis se asocia con niveles más altos de HbA1c y peores complicaciones de la diabetes. Se ha demostrado que el tratamiento de la periodontitis en personas con diabetes mejora el control glucémico, con reducciones de HbA1c de 3-4 mmol / mol (0,3-0,4%) a corto plazo (3-4 meses) después del tratamiento. Dado que el tratamiento de la periodontitis produce reducciones clínicamente relevantes de la HbA1c, el equipo dental tiene un papel importante en el tratamiento de los pacientes con diabetes.
World Health Organization (WHO). Definition and diagnosis of diabetes mellitus and intermediate hyperglycaemia, 2006. Online information at http://www.who.int/diabetes/publications/diagnosis_diabetes2006/en/ (acceso Septiembre 2021)
La información compartida en el blog me pareció muy concreta, exacta y bien resumida.
ResponderBorrarLa enfermedad periodontal mportancia que se le da a no es la que merece.
Varios estudios relacionan a la periodontitis con un impacto negativo sobre la calidad de vida de las personas; produciendo esta patología diferentes efectos sobre los pacientes incluyendo: deterioro, malestar incomodidad, limitación en la función masticatoria; además afecta la apariencia, la autoestima y el bienestar psicosocial de los paciente.
Muchas gracias por el comentario Esmeralda, así es es un problema que a causado varias controversias, también es importante mencionar que los pacientes con formas de periodontitis de inicio temprano albergan muchas veces niveles elevados de Actinobacillus actinomycetemcomitans en la placa subgingival.
BorrarReferencia: Carranza, F. A. (2005). Clinical PERIODONTOLOGY (9.a ed.). McGraw-hill; 563
Este comentario ha sido eliminado por el autor.
ResponderBorrarLa información presentada me parece muy concisa y las imágenes usadas nos ayudan a tener una mejor comprensión del tema y no enredarnos con tantos datos. Me parece muy importante el reconocer que la enfermedad periodontal afecta a gran parte de la población en México, y que los jóvenes abarcan un gran número de ésta. Debemos conocer las características de estos padecimientos para dar un diagnostico y tratamiento favorable a nuestros pacientes y también inculcar buenos hábitos de higiene en la comunidad para evitar o detener la enfermedad lo más pronto posible.
ResponderBorrarMe gustaría agregar que en una periodontitis moderada o severa pueden aparecer abscesos periodontales y es una infección purulenta localizada en los tejidos periodontales. Se caracterizan por inflamación, supuración, enrojecimiento, extrusión del diente implicado y diente sensible a la percusión. A veces aparece una ligera elevación de la temperatura.
BIBLIOGRAFÍA: Bascones Martínez, A., & Figuero Ruiz, E.. (2005). Las enfermedades periodontales como infecciones bacterianas. Avances en Periodoncia e Implantología Oral, 17(3), 147-156. Recuperado en 16 de septiembre de 2021, de http://scielo.isciii.es/scielo.php?script=sci_arttext&pid=S1699-65852005000300004&lng=es&tlng=es.